年逾古稀,髋关节置换10余年后再遇危机
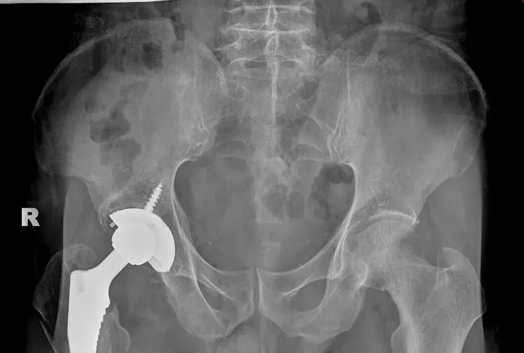
75岁的官大爷(化名)向我们讲述了他的人工全髋关节置换经历:时光倒流至10年前,彼时的他因股骨头坏死,接受了右侧人工髋关节置换术。早期恢复状况相当不错,行走活动皆如常人般自如。近年来,因假体磨损导致右髋疼痛及假体周围骨溶解,未及时处理,行动不便后不慎摔伤,造成“右侧股骨假体周围骨折”,于1月27日入院治疗。
▲术前
检查发现其右侧髋臼后壁、后柱及股骨大粗隆存在明显骨溶解,常规假体无法满足手术需求。且患者高龄、基础疾病多,髋关节的重建是一个非常大的挑战!
3D打印技术,精确助力复杂髋关节翻修手术
面对如此棘手的问题,骨一科团队创新性地与厂家合作,最终决定采用3D打印技术实现复杂髋关节精准化翻修。根据患者具体骨缺损形态,量身定制了个体化3D打印髋臼填补垫块及配套假体,并于2月8日成功为患者施行了“右侧髋关节翻修术 + 股骨近端骨折切开复位内固定术”。术中见3D打印髋臼组件与患者骨骼贴合紧密,匹配度高;原有股骨柄假体稳固,未予更换。手术过程顺利,患者术后恢复良好,术后3个月,患者行走自如。
▲术后
骨一科团队表示:“髋关节翻修手术的难点在于对髋臼骨缺损的评估、假体的个性化设计。相较于传统手术过程中完全依靠医生的经验和主观判断,‘3D打印’等数字骨科技术通过整合术前影像学资料,采用建模软件处理加工,构建出病变关节的三维数字模型,并可以多角度观察病变关节,全方位评估病情。使用特定的材料打印出与实体器官相同的模型,制定手术计划,避免术中损伤重要组织,有效解决复杂关节置换手术中可能遇到的难题。”
此例手术的成功,彰显了个体化3D打印技术在解决复杂髋关节翻修、特别是严重骨缺损病例中的显著优势,为患者提供了更精准、有效的治疗选择。
